木村病(きむらびょう)(または木村氏病)(英、Kimura's disease)は、軟部好酸球肉芽腫症とも呼ばれ、無痛性で良性の皮膚腫瘍の一つである。発生は少なく、症例報告は多いが原因は分かっていない。若年者に多いのが特徴でほとんどが20歳未満である。若い男性に多い。アジア、特に日本に多い。
1909年に片山久寿頼が最初に報告し、1948年、本病名の由来である木村哲二らが報告した。さらに1959年、飯塚栄により「木村氏病」として提唱されたことで、世界ではじめて疾患として確立された 。
綿貫詰が仮に命名した軟部好酸球肉芽腫症という名称については異論もあるという。
症状
- 皮膚にしこりができて徐々に大きくなる(通常は孤立性=多発性の逆で一か所だけの変化)。
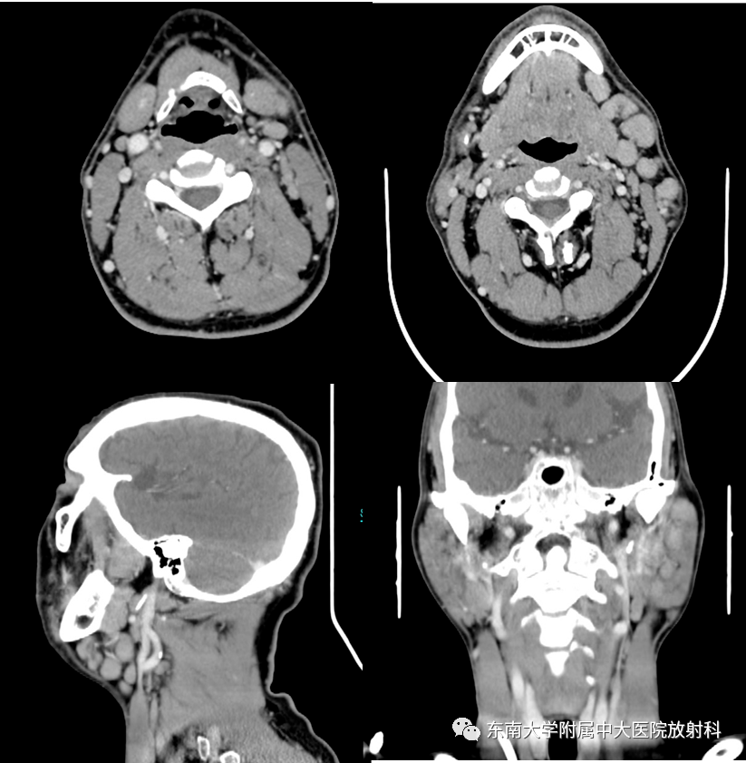
- 全身にできるが特に頭頚部(とうけいぶ;首以上の部分)が多く、その中でも耳下腺またはその周囲に発生することが多い。稀に上咽頭(のど)や口腔内の粘膜下にも発生する。
- 血液中の好酸球の数が上昇する場合があり、腕や脚などにかゆみを伴うことがある。
- 倦怠感、発熱を伴うことがある
検査
- 血液検査(特に好酸球増多の有無、血清IgE,血清TARC)
- MRI検査,CTなどの画像検査
- 病理検査(リンパ組織増生と好酸球の強い浸潤(炎症部位に水が浸み込むように集まること)が特徴的である。)(木村病は上記のように(軟部好酸球)肉芽腫症とも呼ばれるが、実際は組織球(マクロファージや樹状細胞など組織にいる白血球)の集簇(しゅうそう;集まること)は見られないため、肉芽腫ではない。)
鑑別診断
- 皮膚悪性リンパ腫(皮膚悪性リンパ腫の疾患だった場合予後が非常に悪いため、鑑別が非常に重要)
治療
- 良性であるため慌てて治療する必要もないが、見た目の問題もあるのですぐに治療を行うことが多い。
- ステロイド内服は効果的だが、中止するとすぐしこりが大きくなり根治的でない。できれば切除手術が望ましい。
参考文献
関連項目
- 菊池病(組織球性壊死性リンパ節炎)
外部リンク
- 木村病の細胞学的検討 日本臨床細胞学会雑誌 Vol.37 (1998) No.1 P27-31




